are YOU looking at ME???
Home

back to event picture gallery . . .

Right Knee History

~ 23MAY19 ~

Place cursor over picture, click to enlarge,
then click-and-drag to move, use arrow keys for previous/next
(want the original FULL SIZE image - email me russellholder@earthlink.net)




Right knee history:

During 2014 I was experiencing a lot of pain in my knees, in particular, in my left knee. On September 10th 2014 weight bearing X-rays taken of my knees (see image in the link below) revealed no gap between femur and tibia on left knee (there s/b a gap), and, notice whitening of bones where they wee touching (because they had been beating on each other for a while). The doctor said I needed a total knee joint replacement on my left knee, and, my right knee was also bad and I would know how soon I wanted it replaced after getting the left knee replaced, I said not yet - I had found Aleve pain medication, he said call him when Aleve didn't work anymore. Aleve was helped with the pain in my left knee for a while before becoming unable to walk and on March 17, 2015 the total right knee joint was replaced at Sutter Davis Hospital.

left knee replacement documentation:

http://www.russellrazholder.com/eventpics/2015/150217kneernr/thumbnails.php

So, I was also told in 2014 that I would need to have my right knee replaced soon after having my left knee replaced. My weight was approaching 250 pounds and in 2016 I went on a diet and lost 65 pounds (down to 175 pounds) and the weight loss gave my right knee a new lease on life... my right knee seemed to cease complaining for a while... but my right knee has continued to get worse. When the pain level in my right knee rose to an uncomfortable level I commenced taking Aleve again to subdue the pain and when Aleve no longer even took the edge off of the pain I was given a series of hyaluronic acid shots in my knee which had no effect. The range of motion of my right leg has been diminishing and now I can barely bend my right knee, and, I can not fully straighten my right knee, and, my right leg is no longer "comfortable" in any position (bent, sort-of-straight, relaxed, flexed) and it keeps me awake at night.

06MAY19: I contacted Jyoti Saxena MD, my primary care physician, at Kaiser regarding a request for help with right knee in order to regain functionality and continue to lead an active life style. Subsequently, on 23MAY19 X-rays were taken...

Weight bearing X-ray, 10SEP14, 04MAY15, 23MAY19 (click on X-ray to enlarge):
X-ray by Sutter Davis Hospital
view full size original X-ray by Sutter Davis Hospital on LOCAL
X-ray by Sutter Davis Hospital
view full size X-ray by Sutter Davis Hospital on LOCAL
X-ray by Kaiser Permanente Davis
view full size X-ray by Sutter Davis Hospital on LOCAL


Right Sunrise X-ray, 10SEP14, 23MAY19 (click on X-ray to enlarge):
X-ray by Sutter Davis Hospital
view full size original X-ray by Sutter Davis Hospital on LOCAL
X-ray by Kaiser Permanente Davis
view full size original X-ray by Sutter Davis Hospital on LOCAL


Left Sunrise X-ray, 10SEP14, 04MAY15 (click on X-ray to enlarge):
X-ray by Sutter Davis Hospital
view full size original X-ray by Sutter Davis Hospital on LOCAL
X-ray by Sutter Davis Hospital
view full size original X-ray by Sutter Davis Hospital on LOCAL


Right Lateral X-ray, 10SEP14, 23MAY19 (click on X-ray to enlarge):
X-ray by Sutter Davis Hospital
view full size original X-ray by Sutter Davis Hospital on LOCAL
X-ray by Kaiser Permanente Davis
view full size original X-ray by Sutter Davis Hospital on LOCAL


Left Lateral X-ray, 10SEP14, 04MAY15 (click on X-ray to enlarge):
X-ray by Sutter Davis Hospital
view full size original X-ray by Sutter Davis Hospital on LOCAL
X-ray by Kaiser Permanente Davis
view full size original X-ray by Sutter Davis Hospital on LOCAL


Legend X-ray, 23MAY19 (click to enlarge):
- "Post-OP Knee Arthroplasty"... "Post-OP"???... I don't think so...
X-ray by Sutter Davis Hospital
view full size original X-ray by Sutter Davis Hospital on LOCAL



Since then my right knee has continued to get worse. I am physically active, working out a couple hours 5 days a week to build more muscle mass and to hopefully build supporting muscle mass to surround my right knee to put off surgery. I work out with free weights (pushing iron), kinesis machines, do a 1 hour stretch class 2x/week, and attend a karate class Monday & Wednesday nights and Friday and Saturday mornings (1st degree black belt); however pain has affected my exercising for over a year now, especially in lunges, squats (2 legged and 1 legged), stances (horse stance and back stance), jumps, kicks (right leg kicks actually seem to be OK, but right leg tends to collapse when the right leg must bear all my weight while doing multiple sequential kicks with the left leg).

Furthermore, my right leg has atrophied:

Left thigh: 21&1/2" Left calf: 16"
Right thigh: 20&1/2" Right calf: 15&1/2"

Frequent sharp pain causes my knee to just collapse and there are moments when standing, walking, going up stairs, or putting my leg down when coming to a stop on my motorcycle, a Harley-Davidson Hermitage Classic (weight approximately 750 punds plus me at 200 pounds and wife at 200 pounds for a total of about 950 pounds), when such a sharp pain occurs... . and, there have been falls which are becomming aggrivatingly more frequent while walking or doing menial tasks like picking up dog dodo, but, no dropping of the motorcycle yet... but... worried about the possibility of dropping it.

I have put off surgery well beyond the point at which my left knee was operated on and the time is fast approaching when I will no longer be able to walk. Unfortunately the REALLY GOOD surgeon who operated on my left knee is not a Kiser surgeon but I have researched a Kiser surgeon recommended by my karate instructor who has had both knees replaced, and several others, and I would consider any additional recommendation(s).



X-rays prior to 26AUG19 scheduled surgery, 01AUG19 (click to enlarge):
X-ray by Sutter Davis Hospital
view full size original ./images/190801Xray-IMG-0000-00001_print_public.jpg"...photograph by Russell Holder
X-ray by Sutter Davis Hospital
view full size original ./images/190801Xray-IMG-0001-00001_print_public.jpg"...photograph by Russell Holder

X-ray by Sutter Davis Hospital
view full size original ./images/190801Xray-IMG-0002-00001_print_public.jpg"...photograph by Russell Holder
X-ray by Sutter Davis Hospital
view full size original ./images/190801Xray-IMG-0003-00001_print_public.jpg"...photograph by Russell Holder
X-ray by Sutter Davis Hospital
view full size original ./images/190801Xray-IMG-0004-00001_print_public.jpg"...photograph by Russell Holder

X-ray by Sutter Davis Hospital
view full size original ./images/190801Xray-IMG-0005-00001_print_public.jpg"...photograph by Russell Holder
X-ray by Sutter Davis Hospital
view full size original ./images/190801Xray-IMG-0006-00001_print_public.jpg"...photograph by Russell Holder


25AUG19 day before surgery, shin has healed and cleared for pool...
...will be a while before able to get into the pool again... (click to enlarge):
X-ray by Sutter Davis Hospital
view full size original ./images/img_3968.jpg"...photograph by Russell Holder
X-ray by Sutter Davis Hospital
view full size original ./images/img_3968.jpg"...photograph by Russell Holder
X-ray by Sutter Davis Hospital
view full size original ./images/img_3970.jpg"...photograph by Russell Holder
X-ray by Sutter Davis Hospital
view full size original ./images/img_3971.jpg"...photograph by Russell Holder
X-ray by Sutter Davis Hospital
view full size original ./images/img_3972.jpg"...photograph by Russell Holder
X-ray by Sutter Davis Hospital
view full size original ./images/img_3973.jpg"...photograph by Russell Holder
X-ray by Sutter Davis Hospital
view full size original ./images/img_3974.jpg"...photograph by Russell Holder
X-ray by Sutter Davis Hospital
view full size original ./images/img_3975ps.jpg"...photograph by Russell Holder
X-ray by Sutter Davis Hospital
view full size original ./images/img_3976.jpg"...photograph by Russell Holder
X-ray by Sutter Davis Hospital
view full size original ./images/img_3977.jpg"...photograph by Russell Holder
X-ray by Sutter Davis Hospital
view full size original ./images/img_3978.jpg"...photograph by Russell Holder
X-ray by Sutter Davis Hospital
view full size original ./images/img_3979.jpg"...photograph by Russell Holder
X-ray by Sutter Davis Hospital
view full size original ./images/img_3983.jpg"...photograph by Russell Holder
X-ray by Sutter Davis Hospital
view full size original ./images/img_3984.jpg"...photograph by Russell Holder
X-ray by Sutter Davis Hospital
view full size original ./images/img_3985.jpg"...photograph by Russell Holder
X-ray by Sutter Davis Hospital
view full size original ./images/img_3986.jpg"...photograph by Russell Holder
X-ray by Sutter Davis Hospital
view full size original ./images/img_3987.jpg"...photograph by Russell Holder
X-ray by Sutter Davis Hospital
view full size original ./images/img_3988.jpg"...photograph by Russell Holder
X-ray by Sutter Davis Hospital
view full size original ./images/img_3989.jpg"...photograph by Russell Holder
X-ray by Sutter Davis Hospital
view full size original ./images/img_3990.jpg"...photograph by Russell Holder
X-ray by Sutter Davis Hospital
view full size original ./images/img_3991.jpg"...photograph by Russell Holder
X-ray by Sutter Davis Hospital
view full size original ./images/img_3992.jpg"...photograph by Russell Holder
X-ray by Sutter Davis Hospital
view full size original ./images/img_3993.jpg"...photograph by Russell Holder
X-ray by Sutter Davis Hospital
view full size original ./images/img_3994.jpg"...photograph by Russell Holder
X-ray by Sutter Davis Hospital
view full size original ./images/img_3995.jpg"...photograph by Russell Holder
X-ray by Sutter Davis Hospital
view full size original ./images/img_3996.jpg"...photograph by Russell Holder
X-ray by Sutter Davis Hospital
view full size original ./images/img_3997.jpg"...photograph by Russell Holder
X-ray by Sutter Davis Hospital
view full size original ./images/img_3998.jpg"...photograph by Russell Holder
X-ray by Sutter Davis Hospital
view full size original ./images/img_3999.jpg"...photograph by Russell Holder
X-ray by Sutter Davis Hospital
view full size original ./images/img_4000.jpg"...photograph by Russell Holder
X-ray by Sutter Davis Hospital
view full size original ./images/img_4001.jpg"...photograph by Russell Holder
X-ray by Sutter Davis Hospital
view full size original ./images/img_4002.jpg"...photograph by Russell Holder
X-ray by Sutter Davis Hospital
view full size original ./images/img_4002.jpg"...photograph by Russell Holder
X-ray by Sutter Davis Hospital
view full size original ./images/img_4004ce.jpg"...photograph by Russell Holder
X-ray by Sutter Davis Hospital
view full size original ./images/img_4005.jpg"...photograph by Russell Holder
X-ray by Sutter Davis Hospital
view full size original ./images/img_4006.jpg"...photograph by Russell Holder
X-ray by Sutter Davis Hospital
view full size original ./images/img_4007.jpg"...photograph by Russell Holder
X-ray by Sutter Davis Hospital
view full size original ./images/img_4008.jpg"...photograph by Russell Holder
X-ray by Sutter Davis Hospital
view full size original ./images/img_4009.jpg"...photograph by Russell Holder
X-ray by Sutter Davis Hospital
view full size original ./images/img_4010.jpg"...photograph by Russell Holder
X-ray by Sutter Davis Hospital
view full size original ./images/img_4011.jpg"...photograph by Russell Holder
X-ray by Sutter Davis Hospital
view full size original ./images/img_4012.jpg"...photograph by Russell Holder
X-ray by Sutter Davis Hospital
view full size original ./images/img_4013.jpg"...photograph by Russell Holder
X-ray by Sutter Davis Hospital
view full size original ./images/img_4014.jpg"...photograph by Russell Holder
X-ray by Sutter Davis Hospital
view full size original ./images/img_4015.jpg"...photograph by Russell Holder
X-ray by Sutter Davis Hospital
view full size original ./images/img_4016.jpg"...photograph by Russell Holder
X-ray by Sutter Davis Hospital
view full size original ./images/img_4017.jpg"...photograph by Russell Holder
X-ray by Sutter Davis Hospital
view full size original ./images/img_4018.jpg"...photograph by Russell Holder
X-ray by Sutter Davis Hospital
view full size original ./images/img_4019.jpg"...photograph by Russell Holder
X-ray by Sutter Davis Hospital
view full size original ./images/img_4020.jpg"...photograph by Russell Holder
X-ray by Sutter Davis Hospital
view full size original ./images/img_4022.jpg"...photograph by Russell Holder


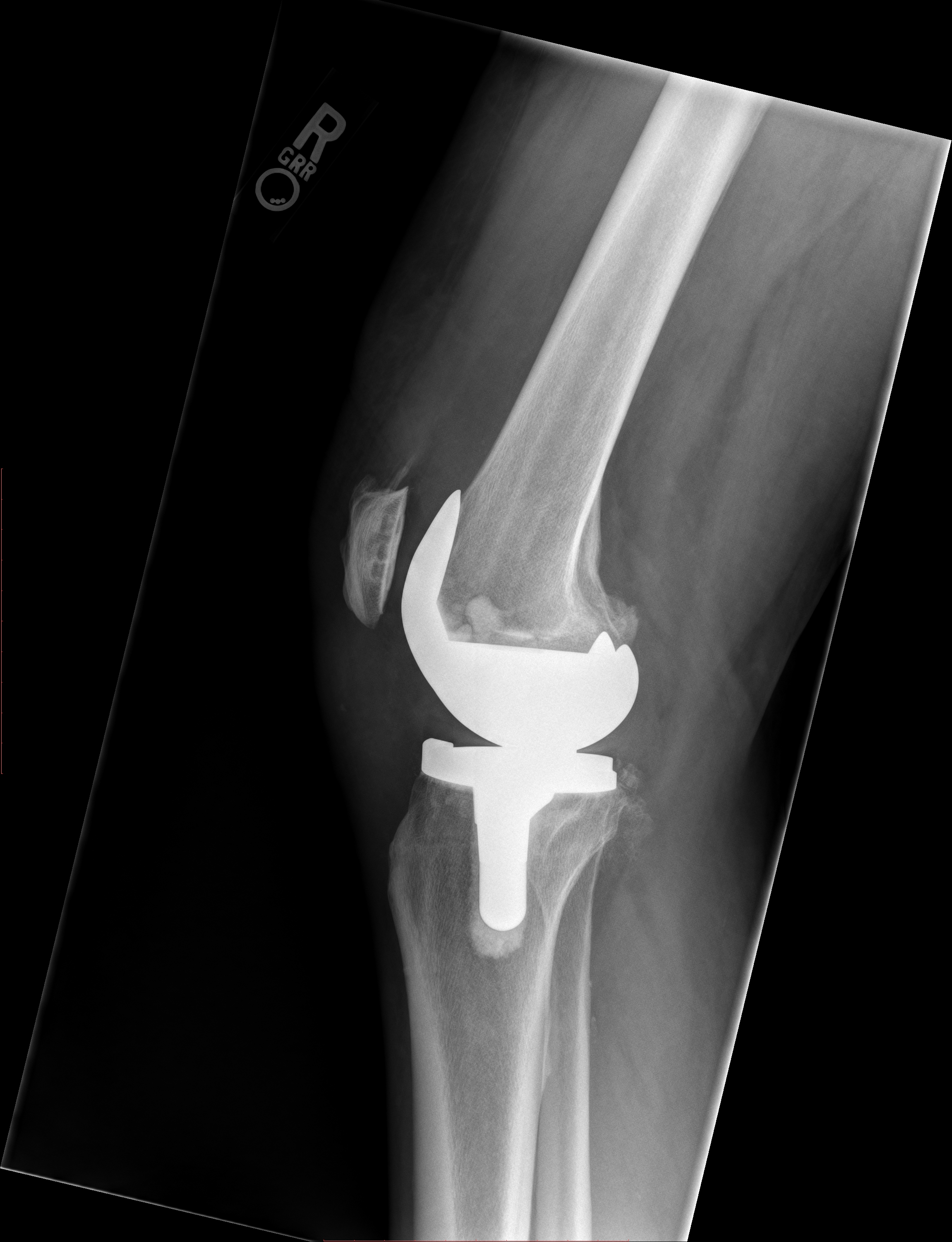
X-rays following 26AUG19 surgery, 26AUG19 (click to enlarge):
X-ray by Sutter Davis Hospital
view full size original X-ray by Sutter Davis Hospital on LOCAL
X-ray by Sutter Davis Hospital
view full size original X-ray by Sutter Davis Hospital on LOCAL
X-ray by Sutter Davis Hospital
view full size original X-ray by Sutter Davis Hospital on LOCAL


X-rays following 26AUG19 surgery, 26AUG19 (click to enlarge):
X-ray by Sutter Davis Hospital
view full size original X-ray by Sutter Davis Hospital on LOCAL
X-ray by Sutter Davis Hospital
view full size original X-ray by Sutter Davis Hospital on LOCAL
X-ray by Sutter Davis Hospital
view full size original X-ray by Sutter Davis Hospital on LOCAL
X-ray by Sutter Davis Hospital
view full size original X-ray by Sutter Davis Hospital on LOCAL


... text only: Right Knee - 23MAY19 - textOnly.php...





Place cursor over picture, click to enlarge,
then click-and-drag to move, use arrow keys for previous/next

back to event picture gallery . . .















































































visitors

visitors.txt